.webp)
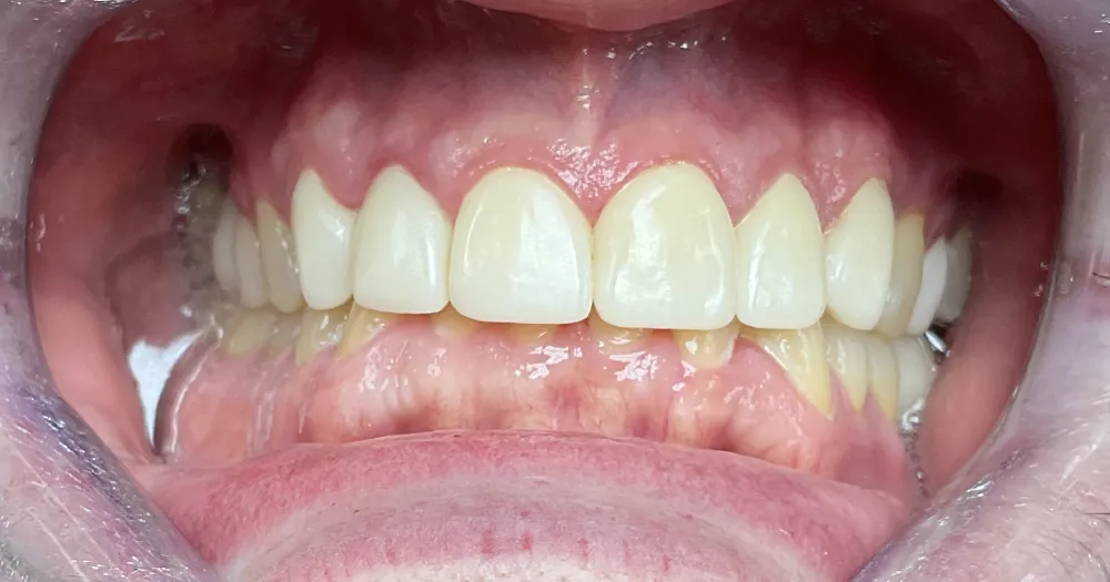
Dental Before & Afters
Dental Before & Afters
See what’s possible when advanced dentistry meets personalized care
We love helping our patients achieve smiles that feel like them—with comfort, confidence, and function in mind every step of the way. Whether you came to us for a same-day crown or a full-arch implant solution, we’re proud to highlight these transformations as a testament to our technology and our team’s attention to detail.






.webp)

.webp)

